医保定点机构
服务热线:
023-63729163
首页
首页
品牌简介
服务项目
专家团队
案例分享
联系我们
加入协尔
培训中心
Case Studies
案例分享
正畸改变人生
儿童牙科
美学修复
种植修复
牙周治疗
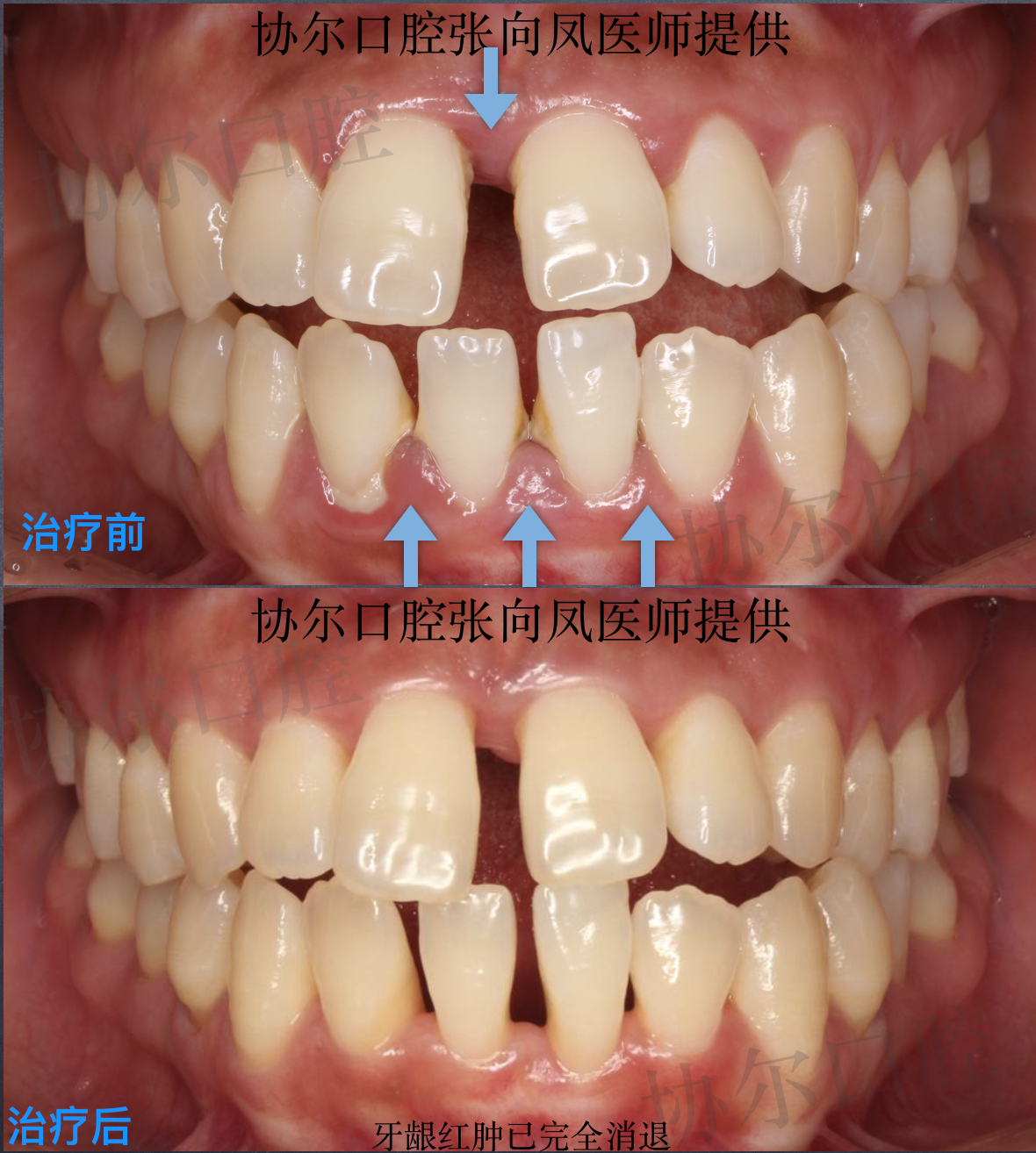
牙龈出血
【发布时间:2017-04-28】
主治医生:张向凤
诉前牙散隙逐渐增大,牙龈出血
上一篇:松牙固定
下一篇:牙齿松的不能吃东西了怎么办