不抛弃,不放弃,四天后破镜重圆,修旧如旧
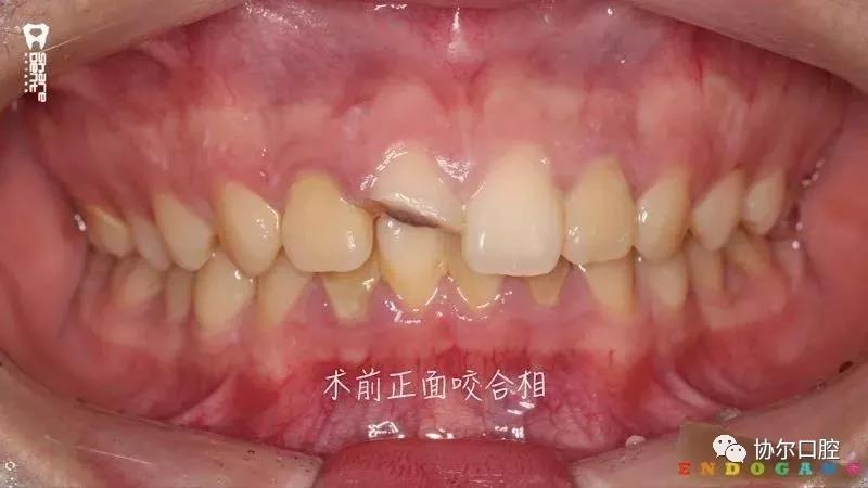
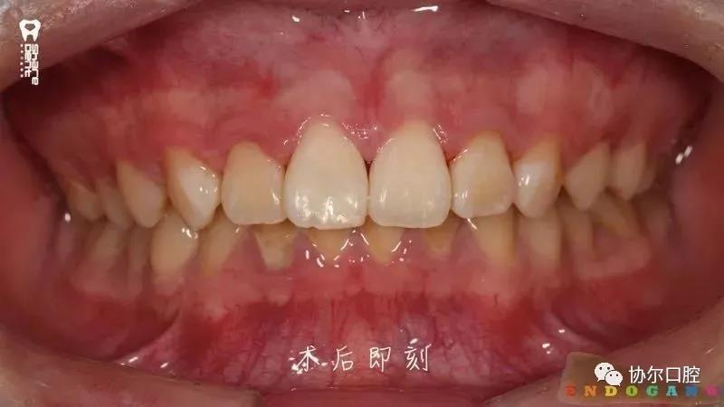
好多朋友都在问有没有前牙外伤折断后美塑树脂断牙显微再接的病例,正当小编“愁眉苦展”时,喻刚老师雪中送炭来了。15岁青少年断牙24小时,破镜重圆,修旧如旧。

官宣:病例已整理好,全权授权给我们使用。
病例刷一波





















首先美塑树脂具有可以反复加热的特性,当把充填用的膏体树脂用专用的加热器加热至55℃时,树脂流动性增强,其流动性比一般的流体树脂略弱,接近于某些高填料的流体树脂,非常适合粘接操作。其次,膏体树脂填料含量比流体树脂高,粘接后的一些表现比普通流体树脂更好,比如耐磨强度。第三,充填树脂没有像双固化粘接树脂的自固化功能,所以留给医生的操作时间非常充分,医生可以反复检查粘接边缘的对位和仔细清除多余的粘接树脂。第四,使用美塑牙本质树脂进行断牙粘接还可根据牙体颜色进行多达9种颜色的牙本质树脂的颜色选择及匹配。
基于以上四点,使用美塑树脂进行断牙粘接是一种较好的选择和推荐。显微技术的运用进一步增加了断牙再接的精准度和精细度,为更多更长久保存天然牙以及折断的牙体组织,断牙显微再接技术值得选择和推广。
如果您及您的家人或身边朋友不幸发生文中所示牙齿外伤折断的情况,可致电联系我们协尔口腔,我们将第一时间给您外伤绿色通道安排专业的医护团队进行诊治。
Microscopic indirect composite aesthetic restorations! 显微间接树脂美学修复,显微掌控细节,美塑还原本真!——喻刚
引导大众明智就医
选对医生
选对就诊机构
选择最适合自己的个性化诊疗方案!
看诊预约敬请关注

龙湖时代店
重庆大坪龙湖时代天街18栋19楼、20楼(C馆4号门旁)
Tel: 023-63729163(19楼)
023-68734551(20楼)
17783175360
恒大中渝店
重庆市渝北区恒大中渝广场都会9号3楼
Tel:023-67499886 023-67499889 17382379271
金开协信店
重庆市渝北区金开协信中心2栋12-1
Tel:023-63056366