医保定点机构
服务热线:
023-63729163
首页
首页
品牌简介
服务项目
专家团队
案例分享
联系我们
加入协尔
培训中心
Case Studies
案例分享
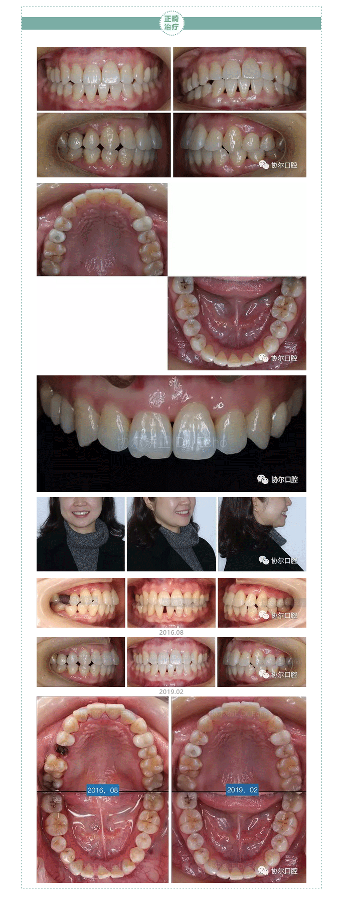
正畸改变人生
儿童牙科
美学修复
种植修复
牙周治疗
巴音布鲁克的“机修工”
【发布时间:2019-03-01】
上一篇:牙间清洁,牙线/牙签/牙缝刷/水牙线……十八般武器该如何选择?
下一篇:与牙周炎负距离的日子