正畸矫正案例主要分为两种:拔牙和非拔牙。尽管正畸专科医生在确定方案时要参考如:拥挤度、牙弓宽度、面型突度、垂直向、生长发育等诸多因素,但是最终仍然难免在“拔牙VS 非拔牙”方面纠结良久。

其实离开临床控制空谈方案合理性没有任何意义,方案制定再合理控制不了也是白搭。我们今天讨论的就是临界病例在维持面型及牙齿排列问题上,选用不同的矫治器是否具有影响?

在传统固定矫治过程中,不采取特殊控制,排齐后面型容易导致面型变得前突,是因为前牙往前走获得排齐的间隙。其实我们需要的理想状态是:前牙保持不动、中间牙齿往侧方移动、后牙往后移动。
但是达到这一点并不容易。
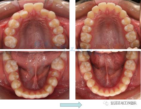
这是一个患者治疗前后的对比图(不整齐的牙齿排列整齐了)
咬合也更紧密,但是似乎前牙向前了一点。
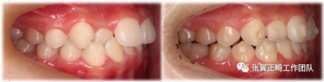
这个小女生选择的是传统固定矫治的方式,仅仅矫治9个月!
不仅牙齿略前倾,面型也似乎前突了一点!
此案例,综合口内的牙齿排列、咬合以及面相等综合考虑,没有选择拔牙,而固定矫治器的特点决定了当钢丝上上去的时候,所有牙齿都同时受力。牙齿总是向最薄弱的方向移动,而很不幸的是这个方向就是往前的方向。所以,往往非拔牙病例总是使得面型变得更突。
隐形矫治
Invisalign隐适美矫治器的出现则改变了这一被动局面。在隐适美矫治体系中,可以对牙齿进行“策略性排齐”。
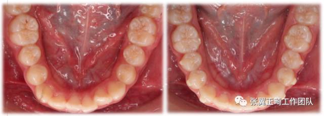
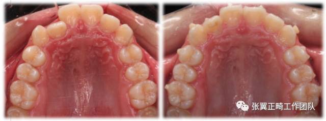
对于这样一个有拥挤的牙齿,我们可以让前牙保持不动,同时让中间牙齿向侧方移动、磨牙向后移动获得间隙,从而排齐前面的牙齿以及改善中线不齐的问题,同时维持面型!
话不多说,看看牙齿变化对比:
上下中线基本对齐
单颗牙反合解除
不整齐的牙齿逐渐排列整齐,牙弓形态变得对称
笑容对比
微突的面型也得到改善
这样下来的结果是患者的面型可以获得很好的维持(前牙的突度不变)!
综上所述,Invisalign“策略性排齐”的力学特性使得临界病例的软组织面型优于传统固定矫治。










你所不知道的隐适美