
“地包天”是一种较严重的颅面部错合畸形。中国历史上最著名的“地包天”是明朝的开国皇帝朱元璋。

在认知缺乏的明朝,“地包天”被称为“帝王之相”,但在对颜值要求越来越高的现代社会,“地包天”不仅影响咬合功能与面部美观,同时对心理特别是自信心及社交影响也非常大。
—————————————————————————————————————————————————
调查显示
在我国恒牙期地包天的发病率高达14.98%,导致形成地包天的原因多种多样(如遗传因素、不良习惯等)。
对于“地包天”的治疗,正畸医生均提倡早期矫治,成年后通常效果欠佳,严重者还需进行正畸正颌联合治疗。但总有一些人因为各种各样的原因错过了早期矫治的时机,等到成年后才进行矫正。
—————————————————————————————————————————————————
今天给大家分享一例成人严重“地包天”的单纯正畸矫正(非手术)案例。
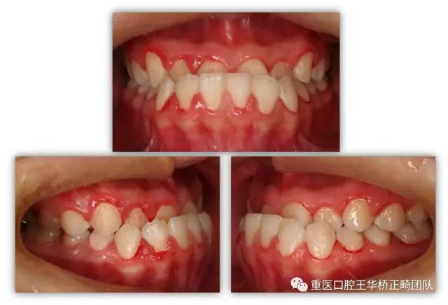
矫正前面相
面中部凹陷,下颌前突
矫正前
口内咬合状况
对于这个严重的成人“地包天”案例我们采用自锁托槽进行单纯正畸掩饰性矫正。
(自锁托槽优点为:舒适、矫治力量柔和、口腔卫生易于维护、牙齿移动快速等)

请一起来看一下矫正前后的对比吧
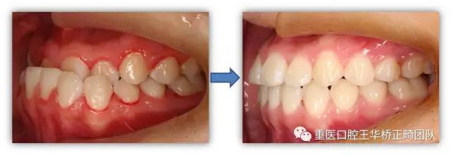
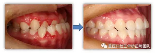
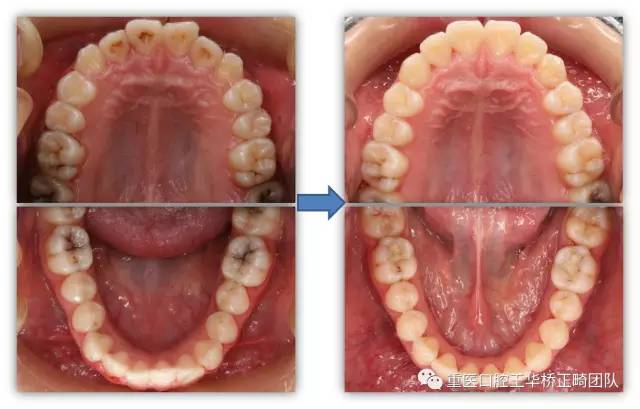
矫正前后牙齿对比




矫正前后面相对比

微笑相的对比

头颅侧位片的对比




切莫错过儿童牙齿矫正的三个“黄金时期”