有人问:“成为医生以来最大的感受是什么”?我的回答是:“肩上多了强烈的使命感与责任感,顾客给与我们最大的信任,不敢辜负”。“成为医生以来最大的幸福是什么”?“莫过于得到他们的肯定”。
学医一直都不是容易的事,它需要博学之、审问之、慎思之、明辨之、笃行之。一块璞玉,在工匠师的手中,需要经历过精心的打磨、雕琢才能成就它传世的经典。一个好的医生也必须经历刻苦的钻研及时间的积累,才能领悟医学中的真谛。
个人介绍
重庆医科大学口腔医学硕士
WFO(世界牙科联盟)国际会员
中华口腔医学会(CSA)会员
中华口腔医学会正畸专委会(COS)会员
第一作者发表CSCD扩展库文章1篇
在《中华口腔正畸学杂志》上发表“疑难病例”Case Report1篇
熟练掌握数字化正畸错(牙合)畸形的诊断、方案设计与治疗,擅长直丝弓矫治技术,自锁托槽轻力矫治,Tip-Edge细丝轻力矫治,种植体支抗技术,儿童早期矫治,无托槽隐形矫治。
教育背景
五年的全日制口腔全科培养
三年的口腔正畸专科培养
三年的口腔科规范化培训
师从原重庆医科大学附属口腔医院正畸科主任张翼教授、硕士生导师任嫒姝教授、王华桥主治医师。因本科期间表现优异,本科毕业获得“市级优秀毕业生”,顺利获得研究生推免资格,保送口腔正畸专业,积极参加全国各地正畸及多学科培训。
2015年9月参加Tweed-Merrifield标准方丝弓矫治技术学习班
2017.10赴上海参加中华口腔正畸年会
2017.12赴杭州参加细丝矫治技术培训班
研究领域
致力于3D打印技术在正畸临床运用中的研究,开创性的设计了舌侧夹板粘结式和舌侧TPA粘结式正畸增强支抗装置,运用于临床能够节省顾客的复诊时间和次数,精确性高,顾客佩戴更加舒适及便于临床医生的操作。
病例展示
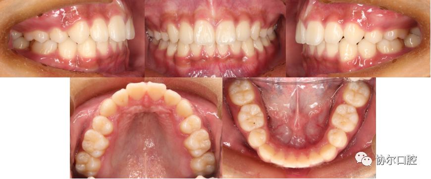
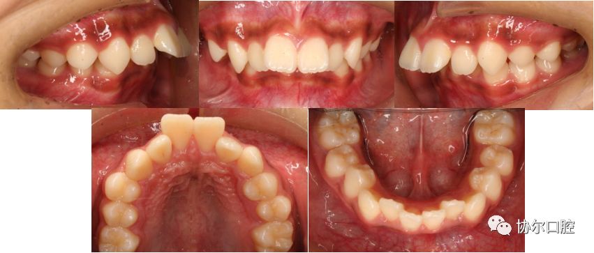
案例一
关键词:牙列拥挤;前突,深覆合深覆盖
矫治方法:拔牙矫治;固定治疗
矫治时间:22个月
治疗前面相:
治疗前口内相:
治疗过程:拔除14,24,34,44采用直丝弓矫治技术
治疗后面相
治疗后口内相
矫治前后对比
2
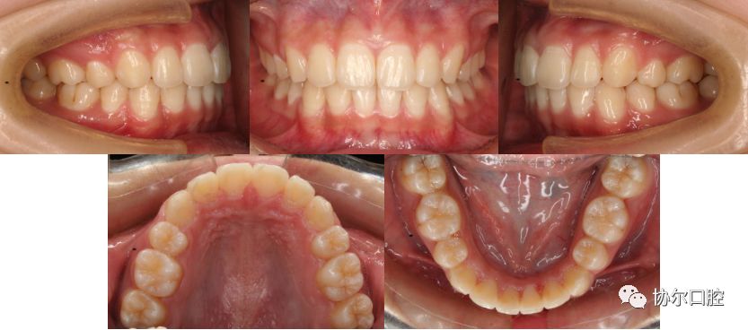
案例二
关键词:下颌后缩;前突;生长发育
矫治方法:拔牙矫治,微种植体支抗技术
矫治时间:24个月
治疗前面相
治疗前口内相
矫治过程:拔除14,24,35,45后上颌植入微种植体增强支抗
治疗后面相
治疗后口内相
治疗前后对比
前不久,一位患者发消息告诉我:“作为患者,至少你没有放弃我”,瞬间触动了我的心弦。回想她矫正的两年时间中,对方案选择的慎重、在矫治控制中的压力及熬夜设计3D打印装置的疲惫瞬间都烟消云散。作为一名正畸医生,最大的幸福就是得到患者的认可,初心不忘,方得始终。
为什么选择协尔口腔
协尔的英文是share,分享与交流的意思,顾名思义,这是一个分享与交流的平台,这里有一群医技精湛、乐于奉献的医生,你能够取他人之长,补自己之短,你能不断学习完善自身。这里也是以患者为中心,有情怀、有温度、有专业、有深度的诊所,是梦想开始的地方。
最后,感谢重庆医科大学附属口腔医院多年来的培养、感谢各位老师们的辛勤付出,感谢家人、朋友们的不离不弃,最后感谢患者们信任,让我成为更好的自己。
长按识别二维码,了解一下
龙湖时代店
重庆大坪龙湖时代天街18栋19楼、20楼(C馆4号门旁)
Tel: 023-63729163(19楼)
023-68734551(20楼)
17783175360
恒大中渝店
重庆市渝北区恒大中渝广场都会9号3楼
Tel:023-67499886 023-67499889 17382379271
金开协信店
重庆市渝北区金开协信中心2栋12-1
Tel:023-63056366


协尔口腔走进林璘幼教|一拍即合的蒙氏教育和口腔保健