知者创物,巧者述之,守世之,谓之工,百工之事,皆圣人之作也。
具有大智慧的美国学者Angle提出牙齿矫正(即:保存全牙列、排齐牙齿、建立标准咬合关系),开创了近代口腔正畸学;后来的Tweed 、Begg、Andrews等学者基于前辈的经验,不仅仅是基于牙齿排列、咬合关系的矫正,矫正还包括牙周健康、面部美观、颞下颌关节健康等,正畸事业得以传承和快速发展,都证明他们具有大智慧的人!
不是每个人都能成为英雄,如莫德里奇!也许我们的命运同样写在星辰之上,在自己的专业领域之中,站在巨人、前辈们、老师们的肩上,得以让每个案例在我们正畸医生的手中,变成一个个精美的作品。
案例分享
输
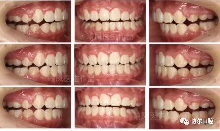
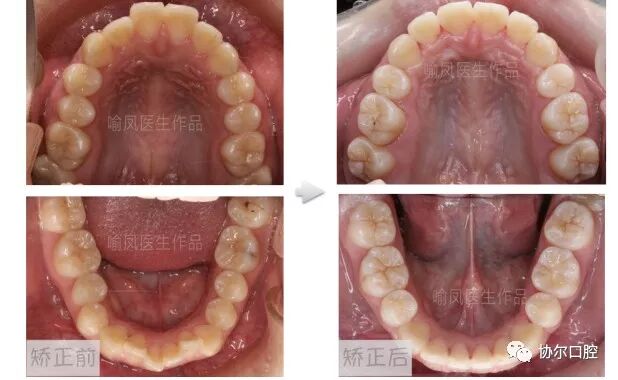
牙齿的“美”
牙齿矫正整齐
尖窝锁接的静态咬合
动态咬合(功能合)
输
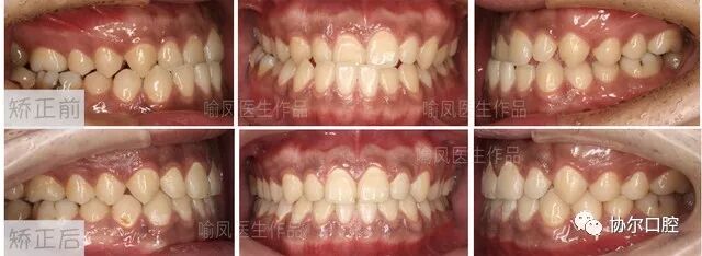
面部美学
绽放灿烂的微笑
面部侧貌的重塑
输
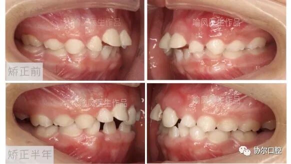
儿童早期矫正案例
龅牙的早期矫正:诱导下颌骨的生长
地包天的早期矫正:促进上颌骨的生长
获奖经历
用心做的每件事,总会有加倍的回报
“2016COS全国口腔正畸青年医师优秀病例全国五十佳病例”(11名)
“2016年重庆口腔医学会学术年会口腔临床全科病例”比赛三等奖(正畸修复牙周多学科联合案例)
“2017AO大赏第五季・花开双生”优秀病例
“2018Ormco Forum病例大赛”优秀病例
专业之旅
问渠哪得清如许,为有源头活水来
在这之中,确实存在小确幸!
考研时,因为本科阶段接触口腔正畸专业甚少,因为这份神秘感,毅然选择口腔正畸学,而后的学习时间里,让我真正的爱上正畸。
硕士研究生毕业之际,加入协尔口腔,因为这里有一群“可爱”的伙伴们,读研时候的老师、师兄师姐、师弟师妹们!在协尔的平台上,我们做着自己喜欢做的事,享受每次案例讨论时的“火花四溅”,因为某个案例的阶段性进展而暗自欣喜,也因为这些改变给患者带去欢喜而反作用于自己。
除了书籍,各种学习班也是少不了的。
牙友评价
Share is caring!
医生的行业特殊属性,要求我们不仅仅是治愈,需要总是安慰!
与各位可爱的萌娃合影
和各位矫正的牙友合影
牙友们的每一次不由自主的笑容,每一次的肯定,总能带来莫大的能量!
足迹
生活不止眼前,还有我们眺望的远方!
当一个人对一个事物说“喜欢”的时候,应当是有一个充分的了解,然后才作出“喜欢”OR“不喜欢”的判断!择一事,终一生!路漫漫其修远兮,吾将上下而求索。
我确信,想做一件事情只有一个理由,不想做一件事有一万个理由!每天做着自己喜欢的事情,一直到老,该是多么美好的事情!
更多案例分享,欢迎关注

